Skip to content

1.1.3.1.7 Genetikai eltérések szűrése.

Alapfogalmak

DNS - dezoxiribonukleinsav
Az örökítő anyag összessége, mely a sejtek magjában található. Ezen kívül a DNS egy kis része a sejt mitokondriumaiban lokalizált. (A mitokondrium az energia előállításában és raktározásában szerepet játszó sejtszervecske.) Az információ a DNS-ben egyfajta kódként tárolódik.
image.png
A kód elemei négyféle bázisból állnak: - adenin (A), guanin (G), citozin (C) és timin (T). A bázisok egymásutáni sorrendje, más néven szekvenciája határozza meg a kódolt információt. DNS-molekulát alkotó két ún. polinukleotid lánc egymás körül feltekeredve jellegzetes kettőshélix-szerkezetet vesz fel. A két láncot a bázisok között kialakuló kötések tartják össze.
Gén
A gén az öröklődés alapvető fizikai és funkcionális egysége. Olyan nukleinsav-szakasz a DNS-ben, amely a szervezet működését szabályozó egyes fehérjék előállításához szükséges információkat tartalmazza. Az embereknek 22-25 ezer génje van két kópiában, melyek közül egyet az egyik, egyet a másik szülőjétől örökölt. Allélnek nevezzük ugyanannak a génnek a különböző variációit, melyekben a DNS bázisainak sorrendje (szekvenciája) egy kicsit eltér egymástól. Ezek a kis különbségek alakítják ki az adott személyre jellemző egyedi jellegzetességeket.
Kromoszóma
A sejt magjában a DNS molekula a kromoszómáknak nevezett fonal-szerű struktúrákba van feltekeredve, és becsomagolva. Az emberi sejtek (kivétel az ivarsejtek) 23 pár, azaz összesen 46 kromoszómát tartalmaznak. Ezek közül 22 pár ún. autoszóma, mely férfiakban és nőkben is egyformán néz ki. A 23. párt alkotó nemi kromoszómák a két nemben különböznek. A nőknek két „X” kromoszómája van, míg a férfiaknak egy „X” és egy „Y”.
Génmutáció
A génmutáció változás a gént felépítő DNS molekula szekvenciájában. A mutációk mérettartománya a DNS egyetlen építőkövétől (bázis), a DNS lánc nagyméretű szakaszáig terjedhet. Génmutációk többféleképpen kialakulhatnak:
Öröklődhetnek a szülőktől vagyis a szülők minden ivarsejtje hordozza. Ezek a típusú ún. csíravonal mutációk a test minden sejtjében jelen vannak, az egész élet során.
Kialakulhatnak az ivarsejtek képződésekor vagy az embrionális fejlődés alatt. Ezek az ún. de novo mutációk csak egy petesejtben, vagy csak egy spermiumban fordulnak elő, illetve keletkezhetnek közvetlenül a megtermékenyítés után vagy az embrionális fejlődés későbbi (többsejtes) szakaszában.
A szerzett (szomatikus) mutációk az egyedi sejtekben keletkeznek valamely időpontban az élet során. Ezeket a változásokat okozhatják környezeti tényezők, mint pl. UV sugárzás, vagy kialakulhatnak a sejtosztódás és a DNS-másolás során bekövetkező hibaként. Általában a tumorképződés genetikai alapja, és nem örökíthető tovább.
Némelyik genetikai változás nagyon ritka, mások viszonylag gyakoriak egy népességen belül. Azokat a genetikai változásokat, amelyek a populáció nagyobb, mint 1%-ában fordulnak elő, polimorfizmusnak nevezik. A génpolimorfizmusnak általában nincs jelentős hatása az egészségi állapotra.
Génmutációk hatása
A sejt normál élettani funkciójának alapja a benne található fehérjék szigorúan összehangolt működése. Ez a több ezer fehérje különböző feladatokat lát el egy időben, pl. i, enzimek, melyek biokémiai folyamatokat irányítanak; ii, transzport fehérjék, melyek különböző molekulákat szállítanak; iii, szerkezeti elemek; iv, jeltovábbító fehérjék, melyek a sejten belüli és sejtek közötti kommunikációt biztosítják. A génmutációk megakadályozzák, hogy ezen fehérjék közül egy, vagy több megfelelően működjön. A hibás funkció egyaránt takarhat csökkent (funkció vesztéssel járó) vagy éppen fokozott (funkció nyeréssel járó) fehérje aktivitást. Egy mutáció eredményezheti a fehérje kóros működését, túlzott kifejeződését vagy akár teljes hiányát is, amely különböző súlyosságú kórállapot kialakulásához vezet. Ha mutáció egy kritikus vagy központi szerepet betöltő fehérjét kódoló génben jön létre, akkor az megszakíthatja a magzati fejlődést és letalitást okoz.
Az emberek a legtöbb génjükből két kópiával rendelkeznek (apai és anyai eredetű). Bizonyos genetikai rendellenességek esetén a gének kópiaszáma változik, több vagy kevesebb lesz belőlük. Az ún. kópiaszám változással járó eltérések egyes DNS-szakaszok inszerciójának (beépülés), deléciójának (kivágódás) és duplikációjának (megkettőződés) eredményei. A gének kópiaszám változásai sok esetben nincsenek hatással az egészségre és az egyedfejlődésre, azonban befolyásolhatják a gének aktivitását és végső soron egyes betegségek kialakulásának kockázatát.
Kromoszómaszám- és szerkezet-változások hatása
A kromoszómák számának megváltozása rendellenességeket okozhat a növekedésben, az egyedfejlődésben és a szervezet működésében egyaránt. Ha a kromoszómák száma a normális 46-hoz képest megnő vagy lecsökken, akkor ún. aneuploidiáról beszélünk. Általánosságban elmondható, hogy a tesi kromoszómák (autoszómák) számbeli változásával járó elváltozások nagyon súlyos kórképeket eredményeznek, melyek nagyrésze az élettel összeegyeztethetetlen és már az embrionális fejlődés valamely fázisában halálhoz vezet. Az aneuploid állapot a genetikai egyensúly felbomlásával jár, mivel egy-egy kromoszóma többlete vagy hiánya a rajta található több száz gén többletét vagy hiányát eredményezi egyszerre. Az ivari kromoszómák (gonosomák) aberrációi a leggyakoribb kromoszóma-rendellenességek. Tünetei általában enyhébbek mint a testi kromoszómáké. Gyakran csak serdülőkorban kerül felismerésre. Szakirodalmi áttekintés található a nemi kromoszóma-rendellenességek előfordulási gyakoriságáról, klinikai, pszichés és társadalmi vonatkozásairól az alábbi linken és tudományos publikációban:
Pinti Éva dr. és mtsai. Nemi kromoszóma-rendellenességek vizsgálata gyermekkorban. Orv Hetil. 2018; 159.évf. 27.sz. 1121–1128.
Az aneuploidia egyik gyakori formája a triszómia, azaz egy számfeletti kromoszóma jelenléte a sejtekben. A triszómia által okozott genetikai betegségek egyik példája a Down-szindróma, amikor a 21-es kromoszómából minden sejtben 3 kópia van jelen. A monoszómia, azaz egy kromoszóma hiánya, amikor a normális két példány helyett csak egy található az adott kromoszómából. Egy teljes testi kromoszóma elvesztése minden esetben magzati halálhoz vezet. Az ivari kromoszómák tekintetében, a Turner-szindróma egy gyakori, monoszómia által okozott genetikai betegség. A kromoszóma rendellenességgel érintett nőkben az X kromoszómából csak egy kópia van jelen a sejtekben. (Jean-Pierre Fryns JP and Lukusa TP. Monosomies. ENCYCLOPEDIA OF LIFE SCIENCES 2005)
A leggyakoribb kromoszómaszámbeli eltérések
Név
Meghatározás
Kariotípus
Jellemzés
Euploidia (normál kromoszóma szerelvény)
2n = 2 x 23
46 XX (nő) 46 XY (férfi)
Poliploidia (a teljes kromoszómakészlet száma változik meg, többszöröződik)
Triploidia
3n = 3 x 23
69 XX 69 XY
Súlyos fejlődési rendellenességet okoz (szív, agy, vese, végtag, arc, koponya)
Általában spontán vetélés történik a várandós időszak elején
A spontán abortumok kb. 10%-ában fordul elő
90%-a apai eredetű, diploid spermium vagy 2 spermium általi megtermékenyítésből jön létre
10%-a diploid petesejt megtermékenyítéséből származik
Tetraploidia
4n = 4 x 23
92 XX 92 XY
Aneuploidia (egy-egy meghatározott kromoszóma többlete vagy hiánya)
2n + 1 = 47 2n - 1 = 45
Triszómia (szám feletti kromoszóma)
2n + 1
Autoszómális triszómia (testi kromoszómákat érintő többlet)
21-es kromoszóma triszómia (Down-szindróma)
47, XX +21 47, XY +21
Mongolredő (epicanthus)
Jellegzetes arcberendezés
Alacsony IQ
Szívfejlődési rendellenességek
Leukémiára való hajlam
18-as kromoszóma triszómia (Edwards-szindróma)
47, XX +18 47, XY +18
Súlyos fejlődési rendellenességek (szív, agy, vese), értelmi fogyatékosság
Ajak-, szájpadhasadék és egyéb arcdeformitások
Kisebb koponya (mikrokefália)
Kisebb állkapocs (mikrognathia),
Dongaláb
Ujjak hiánya, összenövése a kézen és a lábon
A terhesség legtöbbször vetéléssel végződik
13-as kromoszóma triszómia (Patau-szindróma)
47, XX +13 47, XY +13
Súlyos szívfejlődési rendellenesség
Súlyos szellemi fogyatékosság
Extra ujjak a kézen és/vagy a lábon (polidactilia)
Ajak- és szájpadhasadék
Gyenge izomtónus
A legtöbb terhesség vetéléssel végződik.
Gonoszómális triszómia (nemi kromoszómákat érintő többlet)
Klinefelter-szindróma
47, XXY
Hypogonadismus (a reproduktív rendszer csökkent működése)
Gynecomastia (az emlőmirigyek megnagyobbodása)
Here-alulfejlettség
Sterilitás (férfi sterilitás leggyakoribb oka)
Enyhén csökkent IQ
Tripla X-szindróma
47, XXX
Magasabb testméret
Többségüknél normálisan szexuális fejlődés és fertilitás
Dupla Y-szindróma
47, XYY
Legtöbb nem okoz semmilyen rendellenességet
Előfordulhat az átlagnál magasabb testmagasság
Monoszómia (kromoszóma hiány)
2n - 1
Testi kromoszóma hiány
Bármely testi kromoszóma hiánya az élettel összeegyeztethetetlen
Ivarikromoszóma hiány
A monoszómiák közül csak az X kromoszóma hiányos állapot túlélhető nőkben
Turner-szindróma
45, X0
Hypogonadismus (a reproduktív rendszer csökkent működése)
Primer amenorrhea (a menstruáció teljes hiánya)
Növekedési zavar (alacsony termet)
Nyaki redő
Szívfejlődési rendellenességek
There are no rows in this table

A kromoszómák szerkezetét érintő változások a kromoszómán elhelyezkedő számos génre kiterjedhetnek, azok funkcióját befolyásolhatják. A szerkezeti eltérések bekövetkezhetnek a petesejt, vagy a spermiumok kialakulásakor, a magzati fejlődés korai szakaszában, vagy a születés után. A DNS szakaszok átrendeződhetnek egy kromoszómán belül, vagy áthelyeződhetnek egyik kromoszómáról egy másikra (transzlokáció). A szerkezeti elváltozások hatásai függnek azok méretétől és helyétől, és attól, hogy a változás együtt jár-e genetikai anyag elvesztésével, vagy megszerzésével.
Öröklésmenetek típusai (monogénes)
Autoszómális domináns: A gén egyetlen megváltozott (mutáns) kópiájának jelenléte - heterozigóta állapot - elég ahhoz, hogy egy személynél kifejeződjön az adott jelleg. Általában mindegyik érintett személynek van egy érintett szülője is.
Autoszómális recesszív: A gén mindkét megváltozott kópiájának jelenléte - homozigóta mutáns állapot - szükséges ahhoz, hogy egy személy érintett legyen az adott rendellenességben. Egy érintett személynek általában nem érintett (tünetmentes) szülei vannak, akik mindketten hordozzák a mutáns gén egy-egy példányát. Az autoszómális recesszív rendellenességek tipikusan nem láthatóak egy érintett család minden generációjában. Az érintettekben a nemek aránya elvben egyenlő.
X-kromoszómához kötött domináns: Az ilyen módon öröklődő rendellenességeket az X kromoszómán lévő gének mutációi okozzák. A nők gyakrabban érintettek, mint a férfiak (2:1). Az X-hez kötött domináns rendellenesség továbbadásának esélye különbséget mutat a férfiak és a nők között. Azokban a családokban, ahol előfordul egy X-hez kötött domináns rendellenesség, mindegyik generációban gyakran vannak mind érintett férfiak, mind érintett nők. Az öröklésmenet jellegzetessége, hogy az apák nem tudják továbbadni az X-hez kötött jellegeiket a fiaiknak.
X-kromoszómához kötött recesszív: Az ilyen módon öröklődő rendellenességeket szintén az X-kromoszómán lévő gének mutációi okozzák. A férfiak gyakrabban érintettek, mint a nők. Azokban a családokban, ahol előfordul egy X-hez kötött recesszív rendellenesség, mindegyik generációban gyakran vannak érintett férfiak, de csak ritkán érintett nők. Érintett nők esetén ahhoz, hogy a betegség kifejeződjön mindkét X kromoszómának a hibás génkópiát kell tartalmaznia. Az érintett férfiak ún. hemizigóták, vagyis megtalálható bennük a hibás allélt hordozó X kromoszóma. Az X-hez kötött öröklésmenet jellegzetessége ez esetben is, hogy az apák nem tudják továbbadni az X-hez kötött jellegeiket a fiaiknak.
Y-kromoszómához kötött: Az öröklésmenet kizárólag férfiakat érint. Az érintett férfiak apja és fia is érintett. A betegség minden generációban megjelenik.
Kodomináns: A kodomináns öröklésmenetben a gén mindkét változata (allélja) kifejeződhet. Mindkét allél befolyásolja az adott genetikai jelleget, vagy meghatározó a genetikai betegség jellemzőit illetően.
Genetikai betegsegek.png
Példák a különböző öröklődésmenetet mutató betegségekre.
Bödör Csaba dr. Genetika II. előadás. I.sz. Patológiai és Kísérleti Rákkutató Intézet. 2021.

A kromoszómális eltérések öröklődése
Habár néhány típusú kromoszóma-hiba örökölhető, a legtöbb kromoszóma-rendellenesség (pl. Down-kór és Turner-szindróma) nem adódik át egyik generációról a másikra. A kromoszómák számának megváltozása okán létrejött betegségek nem öröklődnek, de véletlen eseményként bekövetkeznek a szaporító sejtek (petesejt és spermiumok) kialakulása során. A kromoszómák szerkezetében bekövetkezett néhány változás örökölhető, míg mások véletlen balesetként következnek be az ivarsejtek kialakulása során, vagy a magzati fejlődés korai stádiumában.

A prekoncepcionális genetikai tanácsadás

Az optimális családtervezés orvosi szempontból az egészséges gyermekek világra jöttének segítését jelenti. Fontos szem előtt tartani, hogy minden egészséges, családot tervező pár esetén fennáll annak az esélye, hogy gyermekük genetikai rendellenességgel születik, melyet általános kockázatnak nevezünk. Ez statisztikai adatok szerint kb. 5-5,5% valószínűséggel következik be. Azonban több esetben is lehetséges, hogy a pár fokozott genetikai kockázattal rendelkezik. Ilyenkor a genetikai vizsgálat elvégzése segíthet kivédeni vagy legalábbis mérsékelni a rizikót. Emellett humángenetikus szakemberrel történő konzultáció még akkor is hasznos lehet, ha az adott betegségre nem végezhető el tesztvizsgálat.
A genetikai tanácsadás olyan egészségügyi szolgáltatás, amely információt és segítséget nyújt olyan személyeknek, akik esetleg genetikai rendellenességek kockázatának vannak kitéve. A konzultáció során a humángenetikus szakértő találkozik a tanácsot kérő személlyel, párral, vagy családdal, hogy megbeszéljék a genetikai kockázatokat, illetve, hogy megállapítson egy genetikai betegséget, továbbá megerősítse, vagy kizárja annak meglétét. Az első alkalommal részletes (mind egyéni, mind családi) kórelőzmény (anamnézis) felvételére kerül sor. Ezt egy családfaállítás követi, amely során feltérképezik a feltehetően genetikai betegségben szenvedő családtagokkal való rokoni szálakat. Ezután a szakember meghatározza a páciens vagy a pár számára legmegfelelőbb genetikai vizsgálatot és felajánlja annak elvégzését mérlegelve az esetleges veszélyeket, hátrányokat is az előnyök mellett. A döntést a párnak kell meghoznia. A vizsgálat eredményétől függően kockázatbecslést végeznek, majd részletesen átbeszélik azt, hogy a páciens későbbi élete során állapotának megfelelő, felelősségteljes döntést hozhasson, akár a gyermekvállalására vonatkozóan. Emellett a genetikai szakértő információkat ad, arról, hogy egy esetlegesen feltárt genetikai hátterű (kór)állapot hogyan öröklődik, milyen eséllyel adható át a következő generációknak, milyen beavatkozási lehetőségek léteznek vagy esetleg várhatók a későbbiekben.

A fogamzást megelőző genetikai tanácsadás indikációi

A genetikai tanácsadás számos esetben indokolt lehet, többek között a családtervezés esetén, az ún. specifikus veszély kizárására, vagy olyan esetekben, amikor egy genetikai eltérés családi halmozódást mutat a felmenők között, illetve ha valaki etnikuma alapján bizonyos genetikai hátterű betegségekre magasabb kockázatú csoportba tartozik. A gyermekvállalást megelőzően az alábbi esetekben ajánlott a tanácsadáson történő részvétel:
Ha a pár mindkét tagja egészséges, de szeretnék tudni, hogy gyermekvállalás esetén fennáll-e a veszélye annak, hogy születendő gyermeküknek betegséget örökítenek át. Ilyen esetekben a leggyakoribb ún. recesszíven öröklődő betegségek kiszűrésére kerülhet sor. Mely során a pár tagjainak hordozósági státuszát határozzák meg. Részletesen lásd később.
Ha a családban már előfordult öröklődő betegség, pl. születési rendellenesség, kromoszóma-rendellenesség, vagy örökletes rákszindróma előfordulása az egyéni vagy a családi kórtörténetben. Ilyenkor általában célzott genetikai vizsgálat történik a feltételezett betegség azonosítására, vagy ha az érintett családtagnál már megtörtént a genetikai diagnózis, akkor a tünetmentes rokon tesztelése végezhető el.
Ha a pár valamely tagjának egyik vagy mindkét szülője ismert genetikai eltérést hordoz.
Ha a pár valamely tagjánál korábban elvégzett, eltérést mutató vizsgálati eredmények születtek, amelyek genetikai hátterű, vagy kromoszómális eredetű betegségre utalhatnak.
Ha a pár női tagja X-hez kötött recesszíven öröklődő betegségre hordozó.
Ha a pár valamelyik tagja autoszomális domináns módon öröklődő betegségben szenved.
Ha az előző terhesség során genetikai eltérést diagnosztizáltak.
Ha korábban két vagy több terhesség elvesztése (ismétlődő vetélés), halvaszülés vagy újszülöttkori halálozás történt.
Ha az anya és az apa egymással vérrokoni kapcsolatban áll (pl. unokatestvérek). Esetükben tervezett gyermekük nagyobb kockázatnak van kitéve a tekintetben, hogy bizonyos - elsősorban recesszív -genetikai rendellenességeket örököljön.
Családi halmozódást mutató betegség esetén. Mivel egyes rendellenességeket, melyek a család több tagját is érintik, nagy valószínűséggel génmutációk okozhatnak, amelyek öröklődhetnek. Azonban más betegségeket, melyek úgy tűnnek, hogy halmozódnak a családban eredményezhetnek csupán környezeti és életmódbeli tényezők, mint pl. a táplálkozási szokások. A genetikus szakorvos segíthet megállapítani illetve differenciálni, hogy a családi halmozódást mutató adott rendellenességnek van-e ismert genetikai háttere.
Az indikációk közé tartozik továbbá, a leendő édesanyánál fennálló (kezelendő) alapbetegség, illetve tartós kórállapot miatti gyógyszeres terápia a gyermeket tervező pár valamely tagjánál. Emellett lehetnek a foglalkozással vagy életmóddal kapcsolatban is speciális kérdések. Ezek közül kiemelendő a veszélyes anyagokkal történő rendszeres érintkezés bizonyos munkakörökben.

A genetikai vizsgálatok lehetőségei

Hordozósági szűrés

Mindannyian sokféle mutációt hordozunk a genetikai állományunkban és szinte valamennyi ember hordozója, valamilyen recesszív módon öröklődő genetikai eltérésnek. A hordozó személyben jelen van egy betegséget okozó, megváltozott génvariáns (allél) az adott kromoszómapár egyikén. Mivel azonban a legtöbb génünkből két kópiával rendelkezünk, a normális génünk ellensúlyozza a mutáció hatását és a betegség tünetei nem jelentkeznek. Annak ellenére, hogy a hordozó személy nem beteg, gyermekében jelentkezhet a genetikai eltérés. Ha mindkét szülő ugyanabban a génben hordoz mutációt, akkor gyermekük 25%-os eséllyel születhet betegként. Vagy a pár nő tagja X-kromoszómához kötött recesszív betegség tünetmentes hordozója, akkor fiú gyermekei 50%-os valószínűséggel lehetnek betegek.
A hordozósági szűrés egy egyszerű - vér vagy nyál - mintavétellel elvégezhető genetikai teszt, amely megállapítja, hogy a pár tagjai hordoznak-e olyan genetikai eltérést (mutációt), amely majd csak születendő gyermekükben okozhat megbetegedést. Minden egészséges ember lehet hordozója ún. recesszíven öröklődő genetikai betegségeknek. Vagyis az adott tulajdonságért vagy betegségért felelős génpár egyik kópiája normális, a másikban hiba következik be. A hordozóság azonban a legtöbb esetben csak azután derül ki, hogy a párnak recesszív vagy X kromoszómához kapcsolt genetikai rendellenességgel érintett gyermeke születik
A leggyakoribb recesszív betegségek, melyek szűrése első vonalban ajánlható egészséges párok tagjai esetén: Cisztás fibrózis, Duchenne izomsorvadás, Fragilis X szindróma és a Gerincizom sorvadás (SMA).
Cisztás fibrózis
A cisztás fibrózis a leggyakoribb monogénesen öröklődő betegség Európában. Születéskori gyakorisága 1/2500 összes élve születés. A hibás génvariáns 25 egészséges ember közül egynél kimutatható, vagyis 25 emberből egyvalaki hordozó. A betegséget a 7. kromoszómán elhelyezkedő CFTR (cystic fibrosis transmembrane regulator) gén hibája okozza. A gén egy kloridion-transzporter fehérjét kódol. Ha a mutáció következtében a fehérje nem működik megfelelően, akkor a külső elválasztású mirigyek által termelt nyákos váladék kórosan sűrű lesz, és eltömi a mirigyek kivezető nyílását. Következménye a mirigyek cisztás megnagyobbodása és pusztulása. Ez a folyamat az érintett szervek (tüdő, orr- és melléküregei, hasnyálmirigy, máj, emésztőrendszer, izzadságmirigyek és nemi szervek) jellegzetes másodlagos károsodásához vezet. Főként súlyos légúti és emésztőszervi szövődményeket okoz.
A cisztás fibrózis autoszomális recesszív módon öröklődik. Ez azt jelenti, hogy ha mindkét szülő hordozza a hibás gént, beteg gyermek születésének valószínűsége 25%. Ha csak az egyik szülő hordozó, a rendellenesség a gyermekekben nem fog megjelenni. Eddig több mint 2000 különféle mutációt találtak a CFTR génben, de ezek közül csak kevés fordul elő gyakran. A cisztás fibrózist hazánkban leggyakrabban a deltaF508 (F508) mutáció idézi elő. Napjainkra több olyan genetikai tesztet is kidolgoztak, amelyek az adott népességben legalább 0,1%-os gyakorisággal előforduló CFTR génmutációkat vizsgálják. Ezek általában egyszerre 20-40 mutációt detektálnak. A esetlegesen előforduló mutációk tesztelése akár két lépcsős formában is elvégezhető. Az első szakaszban megvizsgálják a leggyakoribb CFTR eltéréseket (általában 36 mutációt tartalmazó panel), ami az esetek 90%-át lefedi. Majd ha nem találnak eltérést, akkor akár a teljes gén vizsgálatára (szekvenálás) is lehetőség van.
Duchenne-féle izomdisztrófia
A betegséget a disztrofin fehérjét kódoló gén hibája okozza. A fehérje az izmok regenerálódásához, az izmok normális szerkezetének kialakításához szükséges. Mutáció esetén hibás disztrofin fehérje keletkezik, vagy egyáltalán nem keletkezik fehérje. Emiatt kalcium-ionok áramlanak be az izomsejtek közé korlátlan mennyiségben, így annak pusztulását idézik elő. Az izom helyét zsírszövet és kötőszövet veszi át. A Duchenne izomdisztrófia (DMD) előfordulási gyakorisága 1:3500.
A betegség az X-kromoszómához kötötten öröklődik, ezért a hibás gént az anya adja tovább. A tünetmentesen hordozó anyának 50% eséllyel születhet beteg fiúgyermeke. Lányokban sokkal ritkábban fejeződik ki a betegség, ők inkább csak hordozzák genetikai állományukban a hibás génvariánst. A betegség az esetek kb. 30%-ában nem öröklött módon, hanem újonnan ún. de novo mutáció következtében az embrionális fejlődés során alakul ki.
Törékeny vagy fragilis X-szindróma (FRAXA)
Értelmi fogyatékossággal, viselkedési és tanulási problémákkal járó genetikai betegség. Az okozott értelmi fogyatékosság súlyossága erősen változó, mely az egészen enyhe tanulási zavartól a súlyos kognitív károsodásig terjed. A betegségért az X-kromoszóma FMR1 (Fragile X Messenger Ribonucleoprotein 1) génjének mutációja felelős. Előfordulási gyakorisága 1/1500 fiúk és és 1/2500 lányok esetén. Magyarországon évente hozzávetőleg 70 fragilis X-szindrómás gyermek születik.
Mivel a fragilis X-szindróma tünetei kisgyermekkorban nem feltűnők, a betegség diagnosztizálása más genetikai betegségekkel összehasonlítva általában később történik csak meg. Az átlagéletkor a diagnóziskor 8 év körül van. A betegség kialakulásában az X-kromoszóma érintett, ezért a klinikai tünetek a férfiak esetében súlyosabbak – a nők esetén általában csak az egyik X-kromoszóma érintett, ekkor funkcióját a másik át tudja venni.
Az FMR1 gén esetén nem csak a klasszikus báziscserével járó pontmutációval találkozunk, hanem elsősorban ún. nukleotid ismétlődés (repeat) történik. Az FMR1 gén egy szakasza egymás után ismétlődő ‘CGG’ nukleotidhármasból (triplet) áll. Az egészséges génben az ismétlődések száma 6 és 44 közötti (leggyakrabban 29-30). A mutáns gén 200-nál több ‘CGG’ ismétlést tartalmaz. A CGG-tripletek 45-58 ismétlődéséből álló szakaszát szürke zónának tekintik. Az 59-200 ismétlődést premutációnak nevezik, mely önálló kórképpel, a fragilis X-hez kapcsolt tremor/ataxia szindrómával (FXTAS) jellemezhető. Az ivarsejtképződéskor történő számfelező (meiotikus) osztódások minden nemzedékben tovább növelik az ismétlődések hosszát, ezért az eltérés egyre súlyosabbá válhat (anticipáció).
Spinális izomatrófia (SMA)
A spinális izomatrófia vagy gerinc eredetű izomsorvadás (Spinal Muscular Atrophy - SMA) egy autoszomális recesszív módon öröklődő betegség, amit az 5. kromoszómán található SMN1 gén hibája okoz. Ez a gerincvelő mozgató idegsejtjeinek fokozatos elvesztését eredményezi. Az idegsejtek pusztulása egyre fokozódó izomgyengeséget és izomsorvadást okoz. A leggyakrabban és elsőként a nyak és a törzs tartását végző izmok érintettek, majd a láb és karok izmai, végül a légzést támogató izmok. A betegek pedig jellemzően nem élik meg a felnőttkort. A betegség súlyossága szerint négy típust különböztetnek meg. Az 1-es típus a legsúlyosabb, melybe a betegek 60%-a tartozik.
A betegség minden tízezredik gyermekből egyet érint és minden negyvenedik ember hordozza a hibás gént. Az SMA esetén is, ha mindkét szülő tünetmentes hordozó, akkor 25% az esélye annak, hogy gyermekükben kialakul a betegség. Évente körülbelül 15 csecsemő jön világra az SMA valamelyik típusával Magyarországon, Európában pedig mintegy 550-600 baba.

A további, hazánkban kevésbé gyakori recesszíven öröklődő betegségek genetikai hátterének vizsgálatára kiterjesztett hordozósági szűrőtesztek léteznek, amelyek az ACMG (Amerikai Klinikai Genetikusok Társasága) vagy az ACOG (Amerikai Szülészek és Nőgyógyászok Társasága) ajánlásaiban szerepelnek. Ezek előfordulása már nagymértékben etnikum vagy földrajzi terület függő.
Haemoglobinopathiak
Alfa-thalassaemia örökletes vérképzőrendszeri betegség, amely esetén az oxigénszállító hemoglobin molekula alfa láncának szintézise elégtelen. Mivel a szervezet nem képes normális hemoglobin előállítására, ennek következtében vérszegénység (hemolítikus anaemia) alakul ki. Major típus, melyben a hemoglobint kódoló gén mindkét kópiája hibás gyakorlatilag nem fordul elő, mivel az ilyen genetikai károsodás már méhen belül elhaláshoz vezet. A minor forma enyhe vérszegénységgel és lépmegnagyobbodással jár. Ez a thalassemia típus főként Délkelet-Ázsiában fordul elő.
Béta-thalassaemia jóval gyakoribb, előfordulása a Földközi-tenger vidékén jelentkezik, de megtalálható az afrikai és ázsiai népességben is. Gyakoribb a maláriával fertőzött területeken. A hemoglobin béta láncainak csökkent képződése vagy hiánya okozza a betegséget. A major forma, amikor a gén mindkét allélje érintett, súlyos, vérátömlesztést igénylő vérszegénységgel, lépmegnagyobbodással, fokozott csontvelőműködéssel, növekedési zavarral, fejlődésbeli visszamaradottsággal, sárgasággal, és fokozott fertőzéshajlammal jár. Minor (heterozigóta) forma esetén vérszegénység szintén kialakul, ami azonban vérátömlesztést nem igényel.
Tay-Sachs-kór
Autoszomális recesszív módon öröklődő betegség az ún. gangliozidózisok csoportjába tartozik. A hexozaminidáz-A enzim hiányában kóros anyagcseretermék szaporodik fel elsősorban az idegsejtekben. Súlyos máj-, és agykárosodással, látás- és hallásvesztéssel, bénulással valamint korai halállal jár. A betegség a kelet-európai zsidó közösségben a legelterjedtebb. Egyes adatok szerint e népcsoportban 28-30 emberből egy hordozza a hibás gént.
Ataxia telangiectasia
Idegrendszeri panaszokkal, elsősorban mozgászavarral járó immunrendszeri gyengeséget is okozó betegség. A védekezőrendszer gyengülése következtében ismétlődő fertőzések fellángolása jellemző, fokozott daganat kialakulási hajlammal, illetve a kisagy rendellenességei miatt kialakult egyensúlyzavarral. Az ATM gén hibájából kialakuló recesszív kórkép egyenlő arányban érinti a nőket és a férfiakat. Előfordulási gyakoriságára a 20-100.000 születési számra nézve 1 beteg gyermek születése jellemző. Hordozósági arány 1:100.
Usher-szindróma
Recesszíven öröklődő genetikai rendellenesség, mely a Magyarországon élő siketek 8-10%-ánál, a veleszületetten nagyothalló személyek 3-6%-ánál fordul elő. A szindrómában a látás és hallás egyidejű károsodása jellemző. Az Usher-szindrómával élő személyek legtöbbje születésétől fogva hallássérült (de sok esetben csak iskoláskorban derül ki a hallássérülés ténye), látássérülésük oka pedig a retinitis pigmentosa, mely a retina progresszív pusztulásával, a látótér beszűkülésével és végül vaksággal jár. Minden tizedik ember, akinek retinitis pigmentosa következtében romlik a látása, szintén Usher-szindrómával él.
Fenilketonuria (PKU)
Hazánkban a statisztikai adatok szerint tízezer élveszülésre jut egy beteg gyermek. Becslések szerint Magyarországon minden 50. ember hordozója a hibás génnek. A betegekben a fenilalanin nevű aminosav nem tud lebomlani a fenilalanin-hidroxiláz enzim hiánya vagy kóros működése miatt. Az anyagcsere-zavar következtében a fenilalanin felszaporodik, vagy a normálistól eltérő úton alakul át toxikus köztes és végtermékekké, melyek a különböző szerveket károsítják. Elsősorban a központi idegrendszer bizonyos területein fölhalmozódva idegrendszeri tüneteket, értelmi fogyatékosságot okoz. Kezelésének lényege a szigorúan csökkentett, egyénre kialakított mennyiségű fenilalanint tartalmazó táplálkozás, vagyis diéta. Fontos kiemelni fenilketonuriás lányok illetve nők esetén, hogy a magas fenilalanin-szint teratogén a magzatra nézve. A fenilketonuriás anya mérgező anyagcsere-termékei a méhlepényen átjutva, a méhen belül magzatkárosodást okozhatnak. Ezért terhesség alatt (és fogantatás előtt) is szigorúan tartani kell a megfelelő vérszintet, ilyenkor sem szabad abbahagyni a diétát, sőt kiemelt figyelmet kell rá fordítani.

Célzott genetikai vizsgálatok

Ha a családban (szülők, nagyszülők, testvérek, unokatestvérek) vagy az egyéni kórtörténetben szerepel öröklődő betegség, születési rendellenesség, kromoszóma-rendellenesség, esetleg betegség ami családi halmozódást mutat, akkor a klinikai tünetek alapján felmerülő betegség(ek) diagnosztikai alátámasztásához célzott genetikai tesztek végezhetők. Leggyakrabban az izomsorvadással járó betegségek, epilepsziák, kötőszöveti betegségek, és hirtelen szívhalál jelenik meg az egyén vagy a család anamnézisében, amelynek vizsgálata a családtervezés időszakában kiemelt jelentőségű. Gyakori megbetegedések továbbá a szív- és érrendszeri, valamint daganatos betegségek, melyek nem egy génhez kötöttek, hanem komplex genetikai háttérrel bírnak. Az öröklődő szívbetegségekről bővebb információt az alábbi fejezetben találhat:
Örökletes rákszindrómák közül ma már többet is ismerünk jól definiált génhibákkal. Az egyes daganatféleségek nem, de a daganathajlam öröklődhet. A rákos megbetegedések kb. 5-10%-a örökletes genetikai hibákhoz köthető. Ilyen esetekben egyes ráktípusok családi halmozódása figyelhető meg. Fontos azon személyek azonosítása, akik nem betegek, de a családjukban többször előfordult rosszindulatú daganatos betegség mivel így maguk is hordozhatják a megbetegedést okozó örökletes tényezőket. Az örökletes hajlamot mutató rákszindrómák általában autoszómális domináns módon öröklődnek. Az örökletes emlő- és petefészekrákok többségének hátterében nagy áthatolóképességű mutációk állnak, elsősorban a BRCA1 és BRCA2 génhez kapcsolhatóan. Az öröklődő vastagbélrák két formában ismert, a familiáris adenomatous polyposis (FAP) és az örökölt nem-polyposis vastagbélrák (Lynch szindróma). A vastagbélrákok mintegy 5-7%-a egy öröklődő hajlamot mutató genetikai betegség, a Lynch szindróma következtében alakul ki. (Tímár József dr. A daganatok öröklődésének molekuláris alapjai. MAGYAR ONKOLÓGIA 64:7–11, 2020)
A családban előforduló veleszületett betegségek közül a legnagyobb problémát főleg az összetett rendellenességek (szindrómák) okozzák. Mivel sokszor csak magzati ultrahang eredmény vagy kórszövettani lelet áll rendelkezésre, ugyanakkor ezek a szindrómák nagyon változatos kóreredetűek lehetnek, változatos genetikai hátteret mutatva. A WHO adatai alapján 30 újszülöttből 1 érintett valamilyen veleszületett fejlődési rendellenességgel és becslések szerint 270 000 újszülött életének első hónapja előtt meghal súlyos veleszületett rendellenességek következtében. Fejlődési rendellenességek felelősek a spontán abortuszok több mint feléért, valamint a fejlődési rendellenességre vezethető vissza a csecsemőhalálozások kb. 25%-a. A magyar adatok alapján évente mintegy 5000 várandósság során észlelnek fejlődési rendellenességet.
A veleszületett fejlődési rendellenességek okainak osztályozása:
Genetikai defektusok:
kromoszóma-rendellenességek (szerkezeti és számbeli)
génhibák (mutációk)
Környezeti ártalmak:
alkoholfogyasztás
kábítószerfogyasztás
dohányzás
magzatkárosító gyógyszerek
magzatkárosító fertőzések
Egyéb tényezők:
anyai életkor
genetikai hajlam a családban
Leggyakrabban a többtényezős eredetű születési rendellenességek fordulnak elő, évenkénti számuk 2800-2900-ra tehető. Ezek közül a szív- és idegrendszeri fejlődési rendellenességek, valamint a vese- és vizeletelválasztó rendszer fejlődési hibái a leggyakoribbak és legsúlyosabbak. Gyakoriságban a kromoszóma rendellenességek következnek. Ezek súlyos értelmi és testi fogyatékosságot eredményeznek és országosan kb. 500 ilyen gyermek születik évente. A fejlődési rendellenességek előfordulása a terhesség elején nagyobb, mint születéskor, mivel sok érintett magzat a terhesség során elhal.

A genetikai tesztek előnye
A genetikai teszt elvégzése előnyös, függetlenül attól, hogy pozitív vagy negatív eredményt ad-e egy adott génmutációra. Az eredmények alapján megszűnik a betegség meglétével kapcsolatos bizonytalanság. Általánosságban elmondható, hogy negatív genetikai eredmény alapján teljesen kizárni az adott kórképet vagy annak későbbi megjelenését nem lehet, de nagyban csökken a kockázata annak, hogy a vizsgált betegség előfordulna. Egy pozitív eredmény pedig a megelőzés, a folyamatos ellenőrzés és a kezelés irányába fordíthatja a személy figyelmét. Bizonyos tesztek elvégzése pedig segíthet a gyermekvállalással kapcsolatos döntéshozatalban is.
Egyes esetekben pontos orvosi diagnózis felállítása vagy egy terápia alkalmazása nem lehetséges genetikai vizsgálat nélkül. A megfelelően kiválasztott genetikai elemzés feltárhatja a tünetek mögött rejtőző genetikai okokat. Genetikai hajlam vizsgálata során azonosíthatók azok a leggyakoribb genetikai eltérések, amelyek megemelik egy betegség vagy egészségügyi probléma kialakulásának kockázatát.
A genetikai tesztek kockázata és korlátai
A legtöbb genetikai tesztnek nagyon kicsi a fizikai/orvosi kockázata, különösen azoknál a teszteknél, amikor vér vagy szájüregi (a szájüreg belső felszínéről kitörölt sejteket tartalmazó) mintát használnak. Nincs olyan genetikai teszt, amely képes lenne az összes genetikai kondíciót vizsgálni, amely az adott betegség hátterében állhat. Ez azt jelenti, hogy még ha negatív is egy adott teszt eredménye, lehet arra esély, hogy a páciens esetleg mégis hordozója betegséget okozó génvariánsnak. Ez az úgynevezett reziduális/maradék kockázat. Egy másik fontos probléma lehet, hogy sok diagnosztizált rendellenesség esetében nincs megfelelő vagy elérhető terápiás módszer.

Genetikai vizsgálatok típusai

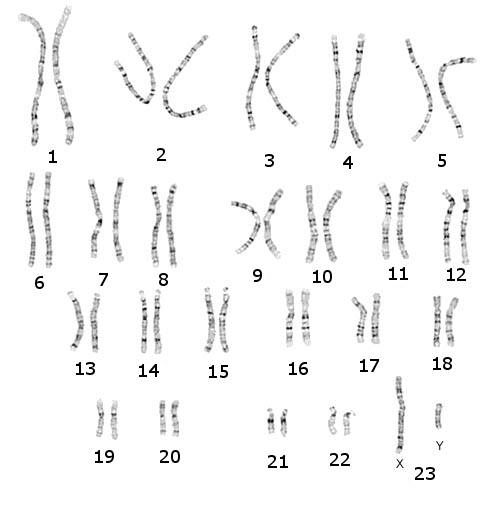
Citogenetika
A hagyományos kromoszóma analízis a veleszületett és szerzett, nagyméretű kromoszóma részeket érintő rendellenességek kimutatására alkalmas. A kromoszómák alaki és számbeli eltérései - sejttenyésztésen és festésen alapuló - kariotipizálással vizsgálhatók. Mikroszkóppal a tárgylemezen az osztódásban lévő sejtek kromoszómái láthatók. Különböző festési módszerekkel az adott kromoszómára jellemző sávos mintázat jön létre. A sávmintázatuk, méretük és alakjuk alapján a kromoszómák számítógép segítségével kariotípusba rendezhetők. Használatával számbeli és egyes nagyobb szerkezeti kromoszóma-rendellenességek pl. deléció esetén a kromoszóma darabjának hiánya, duplikáció esetén a kromoszóma darabjának többlete, transzlokáció esetén a kromoszóma darabjának áthelyeződése kimutatható.
image.png

Molekuláris genetikai vizsgálat
A génmutációk kimutatásának alapvető módszere a DNS szekvenálás, azaz a DNS nukleotid sorrendjének megállapítása. DNS szekvenálás pontosan megmondja a nukleinsav sorrendet, és megmutatja, milyen típusú mutáció van jelen, vagyis hol és melyik nukleinsav cserélődött le melyikre.

Az aneuploidiák, kisebb és nagyobb kromoszóma eltérések, valamit a különböző molekuláris genetikai, DNS szintű vizsgálatokról bővebb információt a
Broken link
Broken link
Broken link
fejezetekben találhat.


Forrás:
Want to print your doc?
This is not the way.
Try clicking the ··· in the right corner or using a keyboard shortcut (
CtrlP
) instead.