Skip to content

1.1.3.1.11 Egyéb szűrési lehetőségek, környezeti kockázatok, vitaminok.

Ideális esetben a várandósság akkor következik be, amikor a pár mindkét tagja ezt eldöntötte és a családalapításra, illetve a megszületendő gyermek felnevelésére tudatosan és felelősséggel felkészültek. Sajnos a terhességek jelentős részében ez ma még nincs így. Azonban még a kívánt és tervezett terhességek esetében is csak ritkán történik részletesen átgondolt és tudatos felkészülés a gyermekvállalásra. Sokan a graviditást a terhességi (HCG) teszt pozitív eredménye alapján észlelik, és kedvező esetben ekkor gondolkoznak életmód változtatáson, a dohányzás vagy alkohol fogyasztás elhagyásán, s jelennek meg nőgyógyászati vizsgálaton. Ekkora azonban már sok minden eldőlt. Így pl. a hímivarsejt és a petesejt minőségét, a megtermékenyülés esetleg nem ideális feltételeit (magas vércukorszint, nőgyógyászati gyulladás, nem kívánt gyógyszerhatás) utólag módosítani már nem lehet. Sokan nem tudják, hogy néhány kulcsfontosságú óvintézkedéssel és szűrővizsgálattal lényegesen javítani lehet a megszületendő gyermek esélyeit az egészséges életre.
A babaváró életút PRE-szakaszára vonatkozó személyre szabott és általánosan alkalmazható tanácsokkal a jelenlegi helyzeten szeretnénk javítani. Annak érdekében, hogy minél többen rendelkezzenek azokkal a gyakorlati információkkal, amelyeket használva minden aspektusban tudatosan és biztonságosan készülhetnek a várandósságra. A PRE-szakaszhoz kapcsolódó korábbi fejezetetekben kifejtettük azokat, a mindkét fél számára alapvető egészségügyi és állapotfelmérő kérdéseket, amelyeket mindenképpen érdemes tisztázni a várandósság előtt. Jelen fejezetben pedig;
egyéb, elsősorban fogászati szűrési lehetőségeket mutatunk be,
felhívjuk a figyelmet egyes, a háztartásokban is megtalálható és a termékenységet befolyásoló vegyi anyagokra,
illetve kiemeljük azokat a vitaminokat, amelyek javíthatnak a teherbeesés esélyein és előkészítik a kiegyensúlyozott várandósságot.

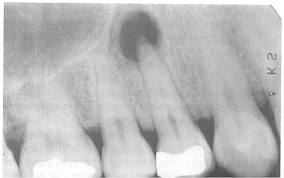
image.png

Fogászati és szájhigiénés szűrés

Általánosan elmondható, hogy már a gyermekvállalás tervezésének szakaszában ajánlott a fogászati státusz rendbetétele és az ínybetegségek kezelése. Ez azért is fontos, mert a szűrés során pl. fogászati röntgenvizsgálatra is szükség lehet. Ami viszonylag alacsony sugárterheléssel jár, azonban a terhesség alatt még így sem javasolt. Emellett a várandósság során majdan bekövetkező hormonális változások fogékonyabbá tehetnek a fogínybetegségekre.

Fogászati góckutatás
A gócok olyan, többnyire letokoltan elhelyezkedő baktériumok a szervezet különböző pontjain, amelyek az immunrendszertől elzártan találhatóak. Ezért annak ellenére, hogy jelenlétük immunválaszt indukál, az immunrendszer mégsem tud megküzdeni velük. Habár a túlzott immunválasz elsősorban a szájban koncentrálódik, mégis fokozott gyulladásos mechanizmusok indulhatnak el a szervezet más területén. Végeredményként pedig ez a folyamatosan fennálló és állandósult gyulladásos immunreakció különböző, az általános közérzetet és az életminőségét rontó tünetekhez vezethet.
Bizonyított, hogy az immunrendszer túlzott reakciókészsége növeli a meddőség, a vetélés és a sikertelen beágyazódás kockázatát is. Emellett a női meddőség gyakori okai, mint az endometriózis vagy a PCOS szintén összefüggésbe hozhatók a periodontális betegségekkel. A fogágy gyulladása továbbá növelheti a koraszülés rizikóját, valamint hatással lehet az újszülött súlyára is.
Fogászati góc alatt a szájüregben vagy az állkapocs csontállományában keletkezett, hosszú ideje jelenlévő, betokozódott, krónikus gyulladást értjük. Bár a szervezet a kórokozókkal teli fogászati gócot megkísérli lezárni és elválasztani a test többi részétől, ennek ellenére a gócból folyamatosan távoznak baktériumok vagy baktérium törmelékek a véráramba. Így a szervezet egy másik pontján azután újabb gyulladást idézhetnek elő.
A fogászati góc kialakulásának gyakori okai és előfordulási helyei:
fogínygyulladás
fogágybetegség
elő nem tört bölcsességfog
szuvas vagy lyukas fog
kilazult, mozgó fog
kilazult tömés
fogimplantátum környéki gyulladás
fogciszta vagy tályog
krónikusan gyulladt fog
parodontális tasak
rosszul gyökérkezelt fog
visszamaradt foggyökér
Az elsődleges, fogászati góc általában tünet- és fájdalommentes. A panaszok, amelyek a góc nyomán kialakuló másodlagos gyulladásból erednek, pedig nagyon sokfélék lehetnek. A tünetek közül néhány példa, fáradékonyság, alvászavar; allergiás panaszok; bőrkiütések, ekcéma, pikkelysömör; foltos hajhullás; ízületi gyulladás; hosszú ideje fennálló felső légúti megbetegedés; tartós fejfájás.
A sikeres kezeléssel a fogászati góc által kiváltott tünetek viszonylag gyorsan, legfeljebb néhány hét alatt megszűntethetők.

Periodontális kórképek szűrése
A periodontális - a fogakat körülvevő csont- és lágyszövet - betegségek mind a női, mind a férfi termékenységre egyaránt negatívan hatnak. Ezért a termékenységgel és fogászati egészséggel kapcsolatos kutatások nagy része a periodontális betegségekre összpontosít, mely tünetei a duzzadt, vörös és érzékeny íny. A periodontális betegségek magukba foglalják az íny, a támasztó szövetek és az állkapocs krónikus gyulladását. Kezelés nélkül fogvesztést és az állkapocs visszafordíthatatlan károsodását okozhatja.
A rossz orális egészségi állapotú férfiaknál – legyen szó akár sok vagy kezeletlen lyukas fogakról, illetve periodontális betegségről – nagyobb a valószínűsége a termékenységi problémáknak. Az alacsony spermaszám, a spermiumok nem megfelelő mozgása vagy alakja és a bakteriális infekció jele a spermában (bacteriospermia) különféle fogászati és orális problémákkal asszociálhat.
A legújabb megfigyelések szerint a szájhigiéné és az orális egészség befolyásolja, a sikeres terhesség bekövetkezéséhez szükséges időt. Valamint azt is kimutatták, hogy policisztás petefészek szindrómában (PCOS) és endometriózisban szenvedő nőknél gyakrabban diagnosztizálható periodontális betegség.
Néhány gyakorlati jótanács, amellyel a periodontális betegségek kialakulásának kockázata csökkenthető vagy megelőzhető:
Rendszeres fogorvosi ellenőrzés.
Naponta legalább kétszeri (reggel, este) fogmosás.
Fogselyem használata.
Étkezés utáni vízzel történő szájöblögetés
Professzionális fogorvosi tisztítás félévente.
A dohányzás elhagyása.

Gyakran felmerülő kérdés az amalgámtömések magzatkárosító hatása. A WHO adatai szerint a szájban felszabaduló higany mennyisége minimális, így 5-nél több higanyrestaurátum esetében is a napi felszabaduló higanymennyiség a toxikus küszöbérték (10 μg/ kg/nap) 1%-át sem éri el, így nincs káros hatással sem az anyára, sem a fejlődő szervezetre (Dr. Miklós Réka és mtsai. Fogorvosi szemle. 2019)

DR. MIKLÓS RÉKA, DR. FORGÓ KRISTÓF, DR. KOMLÓS GYÖRGY, DR. JOÓB-FANCSALY ÁRPÁD, DR. ÁCS NÁNDOR: Várandósság és gyógyszerek Hogyan kezeljünk állapotos pácienseket a fogászati rendelőben? FOGORVOSI SZEMLE 112. évf. 3. sz. 2019. 94–101.


image.png

A háztartásban és környezetben található vegyszerek hatása a termékenységre

Mindennapi életünkben számos vegyi anyaggal érintkezünk az elfogyasztott ételeken, a belélegzett levegőn és az általunk használt termékeken (pl. tisztítószerek, kozmetikumok) keresztül. Bizonyos vegyi anyagok megzavarják a hormonrendszer működését, ronthatják a spermiumok és a petesejtek minőségét, emellett kedvezőtlenül befolyásolják akár az anyagcsere folyamatokat is. Ezeket a hormonháztartásba avatkozó vegyületeket összefoglaló néven endokrin diszruptoroknak nevezzük. Az endokrin diszruptorok a környezetből az emberi szervezetbe jutva hormonreceptorokhoz kapcsolódnak és ezáltal i. serkentik vagy gátolják adott sejt tevékenységét, ii. a sejt atipusos válaszát váltják ki, iii,.blokkolják a hormonok vagy receptorok szintézisét, iv. lehetetlenné teszik a fiziológiás hormonkötődését, mert kiszorítják azokat a receptoraikról, v. megzavarják a hormonok transzportját. Ezen molekulák közé soroljuk a pesticidek egyes csoportjait (pl. diklór-difenil-triklóretán - DDT), ipari hormonhatású anyagokat (pl. dioxinok, polichlorinált bifenilek), ftalátokat, fenolokat (pl. bisphenol A - BPA), szintetikus, hormonhatású gyógyszereket és a növényi hormonok egyes csoportjait (pl. fitoösztrogének).
Az endokrin diszruprotok alapvetően befolyásolják az emberi szervezetet a komplett endokrin rendszeren keresztül. Azonban ebben a fejezetben kiemelten a reproduktív rendszerre kifejtett modifikáló hatásaikat tárgyaljuk.
Általánosságban elmondható, hogy több ponton is támadják a szaporító szervrendszert, így mint inhibitorok beavatkoznak a szteroid nemi hormonok bioszintézisébe és metabolizmusába. Ezenkívül kötődnek a szexhormonkötő globulinhoz (SHBG), amely a nemihormonok vérkeringésben történő szállítását bonyolítja. Valamint, közvetlenül is kapcsolódnak a szexhormon-receptorokhoz, ennek révén módosítva a célsejtek működését.


image.png
Bisphenol A - BPA
Ez a vegyület a polikarbonát műanyagok fő alkotója. Szervezetünkbe kerülve az ösztrogénhez hasonló hatást fejtenek ki, mert annak szerkezetét és működését utánozza. Összefüggésbe hozták a mellrák, prosztatarák, meddőség, PCOS, elhízás, korai pubertás és a szívbetegségek kialakulásával. Terhesegér-kísérletekben BPA hatására az utódok prosztatája 30%-kal nőtt nagyobbra, miközben a spermiumszám jelentősen csökkent. Emberben a krónikus BPA-hatás (az átlagpopuláció 93%-ában találtak BPA-t a vizeletben) előrehozta a pubertást és növelte az emlőrák gyakoriságát. Az erectilis diszfunkció a műanyagiparban dolgozó férfiak esetében hétszer gyakoribb volt, mint az átlagpopulációban.
A BPA elkerülésének legjobb módja, ha nem használunk polikarbonátból készült ételtároló edényeket, kulacsokat és konzervdobozokat. A BPA kioldódását a magas hőmérséklet (forró étel/ital), a mikrohullámok, UV-sugárzás és az erősen savas vagy lúgos pH elősegíti. Az idő múlásával (hosszú távú élelmiszertárolás) és a tárolóedény sérüléseivel (kopás, karcolódás) még a lassan kioldódó anyagok is nagyobb mennyiségben kerülhetnek a palackban/dobozban lévő élelmiszerbe, italba.

image.png
Dioxinok
A dioxinok vegyipari folyamatok során keletkezhetnek égési melléktermékként, de természetes úton vulkánkitörésnél, erdőtüzeknél is létrejöhetnek. A dioxinok bioakkumulatív anyagok, azaz felhalmozódnak az élőlények zsírszövetében, és a táplálékokkal tovább adódnak. Lebomlásuk rendkívül lassú, évekig, évtizedekig is eltart. Az emberek szervezetébe leginkább állati eredetű élelmiszerekkel (pl. hússal, hallal, tejtermékekkel) jutnak be. Jelenlétük megzavarhatja a férfi és a női nemi hormonok működését, ami infertilitáshoz, az idegrendszeri rendellenességhez és a daganatos megbetegedésekhez vezethet.
A szervezetünkbe kerülő dioxinok mennyisége elsősorban attól függ, miből mennyit eszünk. A dioxinok a biomagnifikáció során a táplálékláncban következő felsőbb szinteken (elsősorban a csúcsragadozókban) hatványozott koncentrációban vannak jelen, vagyis feldúsulnak. Ezért a csúcsragadózókból származó húsok, halak és tejtermékek fogyasztásának csökkentésével mérsékelhető az expozíció.

image.png
Ftalátok
A ftalátok olyan vegyületek, amelyeket az ipar elsősorban lágyítószerként alkalmaz, mivel a műanyagok rugalmasságát és élettartamát növelik. Nem képeznek erős kémiai kötéseket, ezért a különböző termékekből hosszú ideig képesek felszabadulni. A ftalátok elsődlegesen pajzsmirigy diszruptorok. Hatásuk érinti a pajzsmirigy összetett élettani funkcióját, mint hormonképzését és kötődését, valamint e hormonok hatása alatt álló sejtek működését. Több olyan ftalát ismert, amely befolyásolhatja a nemi fejlődést és a nemi működés több aspektusát (pl. termékenység-csökkenés, spermiumszám-csökkenés, korai pubertás, PCOS, endometriózis). A legtöbb ftalát a szervezetbe kerülve az anyagcserének köszönhetően gyorsan lebomlik egyszerűbb összetevőkre, majd a kiválasztás során távozik a szervezetből.
Ezek a vegyületek számos olyan termékben előfordulhatnak, amelyekkel minden nap érintkezünk. Ftalátokat tartalmazhatnak a rugalmas műanyagból (PVC) vagy gumiból készült berendezési és egyéb használati tárgyak, Az élelmiszerek műanyag csomagolóanyagában is előfordulhatnak, így az ezekkel az anyagokkal érintkezésbe kerülő élelmiszerek elfogyasztásával a ftalátok a szervezetbe is bekerülhetnek. A polietilén-tereftalátból (PET) készült ásványvizes és üdítős palackokból pedig a folyadékba is kioldódhatnak. Kozmetikumokban (pl. körömlakk, hajspray) filmképzőként és illatstabilizátorként használják, így a bőrön keresztül is felszívódhatnak vagy belélegezhetjük őket.

image.png
Perfluoralkilok - PFAS
A PFAS rövidítés a perfluoralkil anyagokat jelöli, majdnem 5000 féle vegyi anyag tartozik ide. A perfluoralkilok mesterségesen előállított kémiai anyagok, melyeknek bizonyos típusai nem bomlanak le sem a környezetben, sem az emberi testben, ezért idővel ezek akkumulálódnak. A legismertebb PFAS-vegyület a teflon, de pl. ezzel az anyaggal biztosítják a ruhák és textíliák víz- és szennyezés-lepergető tulajdonságát. Élelmiszercsomagoláskor is tapadás-mentesítésre használják, pl. mikrohullámú sütőbe való pattogatott kukoricás zacskókban.
Számos betegséggel összefüggésbe hozhatók, mint a termékenység csökkenése, meddőség, az asztma megnövekedett kockázata, az immunrendszer fertőzésekkel szembeni csökkent hatékonysága, és pajzsmirigy problémák.

image.png
Parabének
A parabének ún. biocid vegyületek, melyeket elsősorban a kozmetikai termékek tartósítására használják, illetve antiszeptikus kézmosók, fertőtlenítő spray-k összetevői, mert hatékonyan pusztítják a mikroorganizmusokat. A parabének biológiailag lebomlanak, de folyamatos kibocsátásuk miatt mindenütt előfordulnak a felszíni vizekben, illetve több országban felszín alatti vizekből is kimutattak parabéneket.
Ismert, hogy a parabének ösztrogénszerű hatást fejtenek ki az arra érzékeny sejteken, szöveteken. Emiatt korai pubertást idézhetnek elő. A férfiakra is kockázatot jelenthetnek, kapcsolatba hozták a csökkent tesztoszteron szinttel és a férfi meddőségi problémákkal.
Különösen a bőrödön maradó kozmetikumok (arckrém, testápoló, dezodor) esetén érdemes natúr termékeket választani, melyek parabén-mentesek.

image.png
Fitoösztrogének
A fitoösztrogének természetes körülmények között előforduló biológiai aktivitással rendelkező másodlagos növényi metabolitok, melyek szerkezeti hasonlóságot mutatnak a 17α-ösztradiollal. Ezek a vegyületek a növényeket ért stressz faktorok hatására termelődnek legnagyobb mennyiségben. Kémiailag a polifenolok csoportjába tartoznak. Lehetnek egyszerű, vagy komplexebb molekulák. Jellemző képviselőik az antociánok, flavonoidok vagy a stilbének. A fitoösztrogének elsődleges forrásai a növényi eredetű élelmiszerek, mint a hüvelyesek, szója, gabonák, lenmag, gyümölcsök és az ezekből származó termékek. A bél egyéni mikrobiomja fontos szerepet játszik az fitoösztrogének biológiai hozzáférhetőségében, Bioaktivitásuk: antioxidáns, szabadgyök fogó, illetve ösztrogén agonista vagy antagonista.
A fitoösztrogének hatása nőkben a fiziológiás endogén ösztrogén koncentráció függvénye. Posztmenopauzás nőkben elhanyagolható az endogén ösztrogén mennyisége, így a fitoösztrogének kapcsolódva az ösztrogénreceptorokkal gyenge ösztrogén hatást fejtenek ki. Egy normálisan ösztrogenizált, fertilis korú nőben az exogén fitoösztrogének receptor szinten versengeni fognak az endogén ösztrogénekkel, így gátolják az endogén hormonok hatását.
Ezeket az ún. endokrin rendszert károsító vagy módosító anyagokat modern korunkban nem tudjuk teljesen elkerülni, de sokat tehetünk a hatásuk csökkentése érdekében, melyekre különösen a gyermekvállalást tervező pároknak érdemes odafigyelniük.
Alaposan mossa meg a gyümölcsöket, zöldségeket a permet- és felületkezelő-szerek legjobb eltávolítása érdekében. Ha lehet, fogyasztás előtt hámozza meg.
Kevesebb feldolgozott, konzerv, előrecsomagolt élelmiszert fogyasszon.
Kerülje az adalékokat, tartósítószereket tartalmazó termékeket.
Érdemes mindig szezonális élelmiszereket választani.
Korlátozza az olajos halak (lazac, tonhal, szardínia) és zsíros húsok fogyasztását, mert ezekben az állatokban felhalmozódhatnak peszticidek, nehézfémek és a zsírban oldódó vegyszerek.
Kerülje a PET palackokból történő ivást, mert olyan vegyi anyagok oldódhatnak a folyadékba, amelyek befolyásolhatják a sperma és a petesejt minőségét.
Az ételeket porcelán- vagy üvegtálban melegítse.
Használjon BPA-mentes műanyagokat.
Olyan kozmetikumokat válasszon, melyek nem tartalmaznak parabént. Illetve a várandósságra való felkészülés alatt lehetőleg ne próbáljon ki új illatszert vagy kozmetikumot.

Dr. Csaba György: A hormonális rendszer válsága: az endokrin diszruptorok egészségügyi hatásai. Orv Hetil. 2017, 158(37): 1443–1451.


image.png

Vitamin kisokos - a vitaminpótlás jelentősége a várandósság tervezésének időszakában

Az egészséges életkezdet döntően meghatározza a születéskor várható élettartamot és a későbbi életminőséget. A vitaminok, ásványi anyagok és nyomelemek az emberi szervezet egészséges működéséhez elengedhetetlenül fontosak, amelyek jelentősége még nagyobb a várandósság előtt és alatt, illetve szoptatáskor. Az elégtelen mikrotápanyag-bevitel következményei nemcsak egy ember életére és egészségére vannak kihatással, hanem kiterjednek a következő generációkra is. A vitaminpótlás általános javallata a hiányállapotok megelőzése és kezelése. Súlyos hiányállapottal manapság már ritkán találkozunk, de bizonyos vitaminok és nyomelemek hiánya (pl. folátok, jód, vas) magzati fejlődési rendellenességeket, mentális retardációt, illetve koraszülést eredményezhet.
Ideális esetben a várandósságot megelőzi a fogamzásra való felkészülés, mely a legenyhébb ajánlások szerint is a tervezett terhesség előtt legkésőbb három hónappal kezdődik. Több európai ország gyakorlatában szerepel, hogy már a gyermekvállalást tervező nőknek is napi 400 μg folsav szupplementáció javasolt. Becslések szerint, ha minden gyermeket tervező nő követné ezt az ajánlást – fogamzás előtt elkezdené és az első trimeszter alatt folytatná a folsavpótlást –, akkor a velőcső-záródási rendellenességek 50–70%-a megelőzhető lenne.
Hazánkban a várandósságoknak csak megközelítően a fele előre tervezett. Ezért a velőcső-záródási rendellenességek megelőzésének legnagyobb nehézsége abban rejlik, hogy a záródási folyamat általában még azelőtt lezajlik, mielőtt a legtöbb nő tudná, hogy gyermeket vár. Az agy- és koponyahiány, valamint a nyitott gerinc a magzati fejlődés 15. napjától alakul ki, éppen akkor, amikor kimarad a nők – terhességet jelző – menstruációja. A komplex vitamin készítmények, de legalább a folsav szedését ezért a tervezett fogamzás előtt minimum egy hónappal el kellene kezdeni. A súlyosabb fejlődési rendellenességek a magzati fejlődés 15. és 77. napja között alakulnak ki, ezért a vitaminokat legalább a 12. terhességi hétig folyamatosan szedni kell.
Egy 2006-os magyarországi folsavszedési szokások vizsgálatából azonban kiderült, hogy a résztvevő kismamák majdnem 40%-a a 7-12. hét között kezdett el szedni folsav-tartalmú készítményt. A 0-6. hét között mindössze a várandósok 6,87%-a kezdte meg a folsav alkalmazását, feltehetőleg ezek a terhességek tervezettek voltak. Ebből a tanulmányból is arra következtethetünk, hogy a legtöbb nő csak azután kezdett el tudatosan készülni az egészséges várandósságra, miután az elmaradt menstruáció miatt szakemberhez fordult. Fontos, hogy a leggyakoribb vitamin és nyomelem hiányra már a terhesség előtt fény derüljön, hiszen a terhesség alatt szinte minden vitaminból és nyomelemből megemelkedik a szükséglet.

A legfontosabb vitaminok és ásványi anyagok szerepe a várandósság előtt és alatt
A-vitamin: Elsősorban a látásban, a csont-, fog- és hámszövet kialakulásában, a nyálkahártyák egészségében, valamint a reprodukciós folyamatokban van szerepe. Túladagolása – főleg az első trimeszterben – igazoltan teratogén (magzatkárosító) hatású lehet, ezért komplex, A-vitamint is tartalmazó multivitamin szedése mellett további A-vitamin pótlás nem szükséges, sőt káros is lehet. Előanyaga a béta-karotin, mely emellett fontos antioxidáns. Nagyobb mennyiségben megtalálható a sárgarépában és a sütőtökben.
B-vitamin csoport:
Kutatások bizonyították, hogy a B-vitaminok szerepet játszanak a homocisztein lebontásában, így hiányukban megemelkedik a vérplazma homocisztein szintje, ami összefüggésben lehet számos terhességi szövődménnyel, pl. spontán vetélés, alacsony születési súly, terhességi toxaemia, velőcső-záródási rendellenességek.
B1-vitamin (tiamin): Hiánya az intrauterin (méhen belüli) növekedés gátlásához és az agyfejlődés zavarához vezethet. A jelenség a szénhidrát és a zsíranyagcsere, valamint nukleotid szintézisben szerepet játszó ún. tiamindependens enzimek hiányos működésével magyarázható.
B2-vitamin (riboflavin): A magzati vérképzés és az összes anyagcsere-folyamat fontos eleme. Segít a fáradékonyság és ingerlékenység leküzdésében.
B3-vitamin (niacin): A véráramlás segítésével jelentős szerepe van a méhlepény egészséges keringésének fenntartásában. Hiánya a méhlepény korai elöregedését okozhatja, így magzatfejlődési zavarok is kialakulhatnak.
B5-vitamin (pantoténsav): Fontos szerepe van a magzati-anyagcserében, a tápanyaglebontásban, bizonyos hormonok előállításában és a D-vitamin anyagcseréjében.
B6-vitamin (piridoxin): Az első trimeszterben különösen jótékony hatású a terhességi hányás és a reggeli émelygések ellen. A B6 -vitamin hiánya feszültséget, ingerlékenységet és izomgörcsöket okozhat. Szerepet játszik a folsav és a magnézium felszívódásában, az energiatermelő anyagcsere-folyamatokban, a vérképzésben, az immunrendszer és idegrendszer megfelelő működésében.
B9-vitamin (folsav): A homocisztein zavartalan anyagcseréjéhez megfelelő mennyiségű B6 -, B12-vitaminra és folsavra van szükség. Magyarországon elégtelen a folátbevitel, és ez különösen a reproduktív korú nők esetében jelent problémát. Nagy jelentősége van mindazon ajánlásoknak, amelyek a várandósságot megelőző és a várandósság alatti folát-ellátottság javítását szorgalmazzák. A folsavról részletes információkat talál a fejezet külön bekezdésében.
B12-vitamin (kobalamin): A vérképzéshez, valamint az idegrendszer fejlődéséhez szükséges. Hiányában vérszegénység (anaemia) alakul ki. A folsavval és a B6 -vitaminnal együtt részt vesz a magzat idegrendszerének korai fejlődésében. Állati eredetű élelmiszerekben fordul elő, így a vegán (kizárólag növényi eredetű étrenden élő) kismamáknak mindenképpen javasolt a pótlása.
C-vitamin: Kiemelkedő szerepe van az immunrendszer működésében, fontos antioxidáns, szükséges a kötőszövetek, a kollagén és a porc képzéséhez. Vizsgálattal bizonyították, hogy a terhesség alatti elégtelen C-vitamin bevitel a méhlepény méretének csökkenéséhez, az újszülött fejlődésének visszamaradásához vezethet.
D-vitamin: Napfény hatására a bőrben képződhet Fontos szerepe van a csontok fejlődésében, hiányában ugyanis a kalcium és a foszfát nem tud megfelelően beépülni a csontokba. Súlyos anyai D-vitamin-hiány az újszülöttben csontanyagcsere zavart, skeletális deformitásokat, súlyos esetben újszülöttkori osteomalaciát okozhat. A várandósság alatti D-vitamin hiány a csontfejlődés zavara mellett fokozza a gesztációs (1-es típusú) diabétesz előfordulását, nő a preeclampsia (terhességi toxaemia) kockázata, gyakrabban fordul elő kis magzati súly, sőt korrelál a gyermek esetében a későbbi atópiás dermatitisz, asztma, korai csecsemőkori felső légúti betegségek fokozott kockázatával is. Azt is kimutatták, hogy a fertilitási nehézségeket okozó policisztás ovárium szindrómában (PCOS) a D-vitamin-hiány gyakoribb és arányos a tünetek súlyosságával.
D-vitamin hiány.png
Forrás: Dr. Takácsné dr. Szabó Boglárka: A D-vitamin anyagcsere klinikai vonatkozásai. Semmelweis Egyetem, Doktori értekezés, 2019
E-vitamin: Antioxidáns hatású vegyület. Szerepe van a vérképzésben, emellett hiánya alacsony születési súlyhoz, valamint agyi fejlődési rendellenességekhez vezethet.
K-vitamin: A véralvadásban és a magzat csontfejlődésében is nagyon fontos szerepet játszik, de az anyatejbe rosszul választódik ki, ezért a kizárólag anyatejjel táplált csecsemőknek pótolni szükséges. K1-vitamint elsősorban a zöld leveles növényekben találhatunk, a szükséglet másik fele, a K2-vitamin pedig a bélben megfelelő előanyagokból keletkezik a bélbaktériumok közreműködésével.

Kalcium: Elengedhetetlen a magzat csontjainak, izomrendszerének egészséges fejlődéséhez és a szívműködéshez. A több, mint 1000 mg napi kalciumbevitel szignifikánsan csökkentette a preeclampsia és a magas vérnyomás előfordulását. Magas kalcium szupplementáció esetén (≥1500 mg/nap) koraszülés gyakoriságának csökkenését is megfigyelték.
Magnézium: Az anyai és magzati szövetek növekedése többlet magnézium bevitelt igényel. Nem egységes az álláspont a magnézium és a terhességi szövődmények közötti összefüggés kérdésében. Az utóbbi években végzett metaanalízisekből származó adatok nem mutatnak szignifikáns összefüggést a terhességi magnéziumpótlás és a várandósság során kialakuló szövődmények között. Azonban leggyakrabban a lábikra görcse, fáradékonyság, aluszékonyság, a hasfal keményedése és görcse utalhat a magnéziumpótlás szükségességére. Mivel a magnézium többek között a simaizmok görcsének oldására is alkalmas, segíthet megelőzni a korai méhösszehúzódásokat, így a koraszülés elkerülésében is szerepet játszhat. A magyar táplálkozási ajánlás 75 mg többletmagnézium bevitelt javasol és érdemes tudni, hogy a B6-vitamin segíti a magnézium felszívódását.
Vas: A magzat és a placenta növekedéséhez, a vörösvérsejtképzéshez többlet vasbevitelre van szükség. A vasszükséglet az első trimesztertől fokozatosan nő, és a harmadik trimeszterben éri el maximumát. A terhesség korai szakaszában fellépő vashiányos anémia növeli a koraszülések, illetve a kis testtömeggel történő születések valószínűségét és a perinatális halálozás gyakoriságát. Magyarországon a nők 66,2%-ának alacsony a vasbevitele, a 2009-es Országos Táplálkozás és Tápláltsági Állapot Vizsgálat (OTÁP) szerint átlagosan 9,6 mg az ajánlott 15 mg helyett. Célszerű lenne arra törekedni, hogy a vasraktárak a terhességet megelőzően fel legyenek töltve.
Jód: A pajzsmirigyhormonok (Tiroxin - T4 és a trijód-tironin - T3) esszenciális összetevőjeként, a normál növekedéshez, fejlődéshez a megtermékenyítés pillanatától elengedhetetlenek. A jódhiány elsősorban a szellemi fejlődés visszamaradásához (kretenizmus) vezethet. Ez azonban kivédhető a terhesség első három hónapjában adott jódkiegészítéssel. A szuboptimális jódellátottság esetén is károsodik a magzati agy fejlődése, elsősorban a kognitív funkciók sérülnek. Jódhiányos területeken a szupplementációt a második, harmadik trimeszterre is érdemes kiterjeszteni. Magyarországon a lakosság 80%-a jódhiányos területen él, jódban szegény ivóvizet és élelmiszereket fogyaszt, így kiemelt fontosságú a megfelelő jódbevitel biztosítása terhesség előtt és alatt.
Cink: Minden sejtben megtalálható, számos enzim alkotóeleme, a szabadgyök-fogó tulajdonságáról és az immunrendszert támogató hatásáról ismert. Szerepet játszik a termékenység és a szaporodás fenntartásában: részt vesz a petesejtek éréséhez szükséges folyamatokban, növeli a spermiumok számát és javíthatja minőségüket. Összefüggést találtak a cink-szupplementáció és a koraszülések számának csökkenése között, igaz ezt a megfigyelést alacsonyabb jövedelmű személyeknél, gazdaságilag fejletlenebb területeken írták le, ahol eleve magasabb volt a koraszülések száma.

Omega-3 zsírsavak: Bizonyított, hogy az omega-3 zsírsavak elengedhetetlenül fontosak a magzat idegrendszerének fejlődése, érése során. A központi idegrendszer növekedésének és differenciálódásának intenzív perinatális időszakában nagy mennyiségű arachidonsav és dokozahexénsav (DHA) épül be az agykéreg és a retina lipidstruktúráiba. A várandós és szoptató anya megfelelő DHA ellátottsága hozzájárul a magzat és a szoptatott csecsemő látás- és agyfejlődéséhez.
A vitaminok és ásványi anyagok optimális szintjének jelentőségéről a női és a férfi termékenység kapcsán további hasznos információkat talál a c. fejezetben.

A vitaminok és ásványi anyagok biztonságos legfelső szintje (UL értékek)
A 37/2004. (IV.26.) ESZCSM rendelet pontosan rögzíti az étrend-kiegészítőkben alkalmazható vitaminok és ásványi anyagok körét, illetve a felhasználható vegyületeiket és azt is meghatározza, hogy mennyi ezek minimális mennyisége a termék napi adagjában (a napi ajánlott bevitel 15%-a).
A legfelső biztonságos szint/tolerálható felső beviteli szint (UL- Upper Level, azaz a vitaminok, ásványi anyagok legfelső tolerálható szintje) az a maximális vitamin/ásványi anyag mennyiség, amely az összes forrásból származó, napi rendszeres bevitel mellett az egészségre feltehetően nem fejt ki kedvezőtlen, vagy ártalmas hatást. A maximális mennyiség megállapításához tudni kell a lakosság egyéb forrásokból (élelmiszer+ilyen tartalmú gyógyszer) származó bevitelét is, ami táplálkozás epidemiológiai vizsgálatokkal határozható meg. Az UL értékek megállapítására több tudományos munkacsoport is alakult, melyek közül az európai reguláció szempontjából elsődlegesek:
European Food Safety Authority - EFSA (korábban Scientific Committee on Food - SCF)
US Institute of Medicine - IOM
UK Food Standard Agency Expert Group on Vitamins and Minerals - EVM
Étrend-kiegészítőkben felhasználható vitaminok és ásványi anyagok
Tápanyag
Mértékegység
SCF/EFSA UL
IOM UL
EVM G
A-vitamin
3000
3000
Béta-karotin
-
-
D-vitamin
100
100
E-vitamin
300
1000
K1-vitamin
-
-
Tiamin B1-vitamin
-
-
Riboflavin B2- vitamin
-
-
Nicotinamid
900
35 (nikotinsavval együtt)
Nikotinsav
10
-
Pantoténsav B5-vitamin
-
-
Piridoxin B6-vitamin
25
100
Folsav B9-vitamin
1000 +étrendi folát
1000 + 200 étrendi folát
Kobalamin B12-vitamin
-
-
Biotin
-
-
C-vitamin
-
2000
Kalcium
2500
2500
Magnézium
250 (kiegészítés)+étrendi Mg
350 (kiegészítés)+ étrendi Mg
Vas
-
45
Réz
5
10
Jód
600
1100
Cink
25
40
Mangán
-
11
Kálium
-
-
Szelén
300
400
Szelén L-szelenometioninból
100
Króm (trivalens)
-
-
Króm (trivalens)Króm- pikolinátból
250
Molibdén
600
2000
Fluor
7
10
Foszfor
-
4000
Bór
10
20
There are no rows in this table
Tudományos adatok hiányában, több vitamin/ásványi anyag esetében nem volt megállapítható UL érték. Ezekkel kapcsolatban az SCF/EFSA, és az IOM nem közöl értékeket, az EVM azonban úgy gondolta, hogy a fogyasztók és minden érdekelt megfelelő tájékoztatása érdekében számszerűsített, ún. útmutató értékeket (Guidace=G) állít fel azon vitamin/ásványi anyag szintek figyelembe vételével, amelyeknél tudományos háttér igazolja az adott mennyiségű kiegészítés tolerálhatóságát.

Folsav / Folát
A folát, vagy folsav, egy nélkülözhetetlen, vízben oldódó B-vitamin típus. A folát(ok) az ételeinkben (pl. levélzöldségek) természetesen előforduló tápanyag gyűjtőneve (metilfolát, dihidrofolát, monoglutamil folát, poliglutamil folát), míg a folsav az étrend-kiegészítőkben vagy dúsított élelmiszerekben megtalálható szintetikus forma.
A folát elősegíti a szövetek és a sejtek növekedését és működését, emiatt kritikus szerepe van azokban az életszakaszokban, amiket rendkívül gyors növekedés jellemez, és ilyen a terhesség során a magzatfejlődés is.
A teherbeesést megelőzően kulcsfontosságú az elegendő mennyiségű folsav ellátottság, mivel bizonyítottan segít megelőzni a idegcső különböző záródási pontjain létrejövő fejlődési rendellenességek, mint a nyitott gerinc (spina bifida), spina cysta/aperta és az agyvelőhiány (anencephalia) kialakulását. A velőcső az embrió azon része, melyből a magzat gerince és agya kifejlődik. A velőcsőzáródási rendellenességek a terhesség kezdeti periódusában következnek be. Ezért nagyon fontos, hogy a párok már a babatervezés időszakában ügyeljenek a többlet folátbevitelre.
Becslések szerint a világon évente kb. 300.000 újszülött jön világra velőcsőzáródási rendellenességgel. Kutatások szerint azon nők esetén, akik az ajánlott napi folsav adagolást legalább egy hónappal a fogantatás előtt elkezdik, majd a terhesség első trimesztere alatt is fenntartják, akár 70%-al csökkenhet a magzat velőcsőzáródási rendellenességek kockázata. A megfelelő folátbevitel a méhlepény és a fejlődésben lévő embrió gyors sejtnövekedése miatt is nélkülözhetetlen. Számos hazai és nemzetközi tanulmány is megerősítette hogy a folát jelentősen csökkenti a vesefejlődési, a szív- és nagyér rendellenességek, az ajak- és szájpadhasadék, valamint a végtaghiány előfordulását. Emellett több vizsgálat is összefüggést talált az alacsony folátszint és a koraszülés megnövekedett kockázata között. A folát feltehetően nem csak az egészséges terhesség szempontjából lényeges, hanem a termékenységre is hatással lehet. Kutatások szerint szabályozza a petefészek működését és a beágyazódást. Jorge E. Chavarro és mtsa. 2008-ban publikált tanulmánya alapján a multivitamin, illetve folsav bevitele (min. 6 tabletta/hét) jelentősen csökkentette az ovulációs problémákból eredő meddőség relatív kockázatát.
A folátban gazdag élelmiszerek fogyasztása mellett a szakértők azt javasolják, hogy minden reproduktív korú nő kiegészítésként napi 400 mikrogramm folsavat szedjen. Ma már a világ számos országában előírás a gabonaipari termékek (pl. reggelizőpelyhek, liszt, tészta, kenyér, rizs) folsavval történő dúsítása, azonban Magyarországon ez még nincs így. Fontos tudni, hogy a folát hőérzékeny vegyület, sütés, főzés, tartósítás hatására bomlik, valamint az élelmiszerek hosszan tartó tárolása során is csökken a mennyisége. Emellett arról sem szabad megfeledkezni, hogy a gyümölcsök és zöldségek vitamintartalma az elmúlt évtizedekben a nagyipari termelésnek köszönhetően is jelentősen romlott.
Néhány magasabb foláttartalmú étel (100g / mikrogramm folsav):
Zöld leveles zöldségek:
Kelkáposzta / 190 mikrogramm
Kelbimbó / 182 mikrogramm
Spenót / 145 mikrogramm
Saláta / 145 mikrogramm
Zöldborsó / 159 mikrogramm
Száraz hüvelyesek:
Csicseriborsó / 340 mikrogramm
Szójabab / 250 mikrogramm
Fehérbab / 200 mikrogramm
Lencse / 170 mikrogramm
Mungóbab / 140 mikrogramm
Vesebab / 130 mikrogramm
Gabonafélék, olajos magok:
Búzacsíra / 520 mikrogramm
Búzapehely / 195 mikrogramm
Földimogyoró / 170 mikrogrammot
Quinoa / 184 mikrogramm

Étrend-kiegészítőkben a folsav és a metil-folát molekulák használhatók. Utóbbi alapanyag 4-féle formában elérhető: 3-féle kalciummal képzett só - Metafolin, Extrafolate-S, Magnafolate és egyféle glükozaminnal alkotott só - Quatrefolic formájában. A metil-folát sók előnye, hogy szervezet számára közvetlenül felhasználhatók. Optimális hatást fejtenek ki azokban, akik MTHFR enzim-defektusban szenvednek (lásd később), és nem képesek teljes mértékben lebontani a folsavat. Ebből adódóan a folsavból kevesebb biológiailag aktív folát-formát tudnak átalakítani.
A biológiai hasznosuláshoz, mind a szintetikus folsavat, mind az ételekből származó folátot a szervezetnek egyaránt át kell alakítania aktív formává, egy többlépcsős folyamaton keresztül. Ez a folyamat a népesség egy részénél (hazánkban kb. 10%) egy genetikai mutáció miatt nem tud megfelelően végbemenni.
folsav metabolizmus.png
Forrás: dr. Zsigrai Sára és mtsai. A B9-vitamin élettani és kórélettani jelentősége. Orvosi Hetilap. 2019. (160)28:1087–1096. SE ÁOK II sz. Belgyógyászati Klinika

A bélhámsejtekben a különböző folátalakok metabolizmusa közös útvonalon megy végbe, aminek eredményeképpen az aktív L-5-metil-tetrahidrofolát (5MTHF) képződik. A természetes élelmiszerekből származó B9-vitamin javarészt jól hasznosuló metil-folátnak tekinthető, és az a hányad ami nem ebben a formában fordul elő, az is gyorsabban és könnyeben metabolizálható a folsavnál.
A genetikai meghatározottság is fontos szerepet játszik a folátszint befolyásolásában, amely jórészt az 5,10-metilén-tetrahidrofolátreduktáz (MTHFR) enzimet kódoló gén hibájának tulajdonítható. Ha a gén mindkét kópiája (anyai és apai eredetű) hibás formában van jelen, akkor az enzim aktivitásában 50–60%-os visszaesés következik be és ezzel párhuzamosan az 5MTHF mennyiségének csökkenése tapasztalható. Fontos tudni, hogy ha a génhiba magas homocisztein szinttel is együtt jár, akkor az megnöveli a vérrögök kialakulásának esélyét, ami mélyvénás trombózishoz, vetéléshez, koraszüléshez vezethet. Ebben az esetben érdemes szakembert felkeresni, mert előfordulhat, hogy véralvadásgátló terápiára is szükség lehet a várandósság során.
A magas folsavszint általában ritka a népességben, legtöbbször inkább hiányállapot tapasztalható. Azonban érdemes felhívni a figyelmet azokra a kutatási eredményekre is, melyek szerint a szabad folsav felhalmozódása a vérben egészségügyi kockázatot hordozhat, fokozhatja egyes tumorok kialakulását és csökkentheti az immunrendszer hatékonyságát (NK sejtek citotoxicitása). Ezért, ha erre vonatkozóan külön orvosi javaslat nincs érdemes a napi maximális 800 mcg dózist választani a családtervezés időszakában.
A folsav pótlásra szolgáló törzskönyvezett gyógyszer-készítményekről és legfontosabb regisztrált vitaminokról összefoglaló táblázatot talál az c. fejezetben.

Az alkalmazott vitaminkészítmény gyógyszer vagy étrend-kiegészítő?
Fontos a terhesség előtt és alatt szedett (multi)vitamin készítmények választása esetén tisztában lenni annak tulajdonságairól, megbízhatóságáról. Az alábbi fejezetrészletben összefoglaljuk Magyarországon milyen kritériumok szerint minősítenek készítményeket gyógyszer vagy étrend-kiegészítő kategóriába.
Gyógyszer definíciója az 1998. évi új Gyógyszertörvény szerint, a gyógyszer olyan anyag vagy anyagok keveréke, illetve olyan készítmény, amelyet betegség megelőzése, felismerése, kezelése vagy élettani funkció fenntartása, helyreállítása, javítása vagy módosítása céljából emberi szervezetben vagy emberi szervezeten alkalmaznak.
Étrend-kiegészítő: a hagyományos étrend kiegészítését szolgáló olyan élelmiszer, amely koncentrált formában tartalmaz tápanyagokat vagy egyéb táplálkozási vagy élettani hatással rendelkező anyagokat, egyenként vagy kombináltan; adagolt vagy adagolható formában kerül forgalomba. A termékek jelölése, megjelenítése és hirdetése nem állíthatja vagy sugallhatja, hogy az étrend-kiegészítő betegségek megelőzésére, kezelésére alkalmas vagy ilyen tulajdonsága van.
A gyógyszerek terápiás hatékonyságának (gyógyhatásának) igazolásához alapos, a termékek minden hatására és mellékhatására kiterjedő laboratóriumi, majd állatkísérlet-sorozatot, végül egészséges és beteg emberek bevonásával klinikai vizsgálatokat kell végezni. Ezek eredményeit az orvostudomány szempontjai szerinti kritikus elemzésnek, értékelésnek kell alávetni, és ez alapján állapítható meg a gyógyszer hatásossága. A gyógyhatás hiteles igazolásán túl valamennyi gyógyszernek minősülő készítmény esetében alapkövetelmény a kedvező előny/kockázat arány és a szigorú előírásoknak megfelelő, valamint állandó gyógyszerminőség igazolása. Ezeket a követelményeket az engedélyező hatóság szigorúan ellenőrzi, mielőtt kiadja a gyógyszer forgalomba hozatali engedélyét.
Az étrend-kiegészítőknek ezzel szemben nem tulajdonítható betegséget megelőző vagy gyógyító hatás, bár ezek is kedvezően hathatnak az egészségi állapotra, vagy csökkenthetik valamilyen betegség kockázati tényezőjét, illetve segíthetik a gyermekek egészségét és fejlődését. Ezt azonban csak abban az esetben lehet az étrend-kiegészítő csomagolásán jelezni, ha általánosan elfogadott tudományos bizonyítékokkal alátámasztható, hogy az étrend-kiegészítő vagy annak valamely összetevője és az egészség között összefüggés van.
Összetételüket tekintve az étrend-kiegészítők igen sokfélék lehetnek. A vitaminok és ásványanyagok széles skáláján túl, gyógynövényeket, gombákat, növényi és állati eredetű hatóanyagokat, valamint egyéb élettanilag aktív anyagokat (pl. Q10, L-karnitin, koffein, ...stb.) is tartalmazhatnak. Az étrend-kiegészítőkre vonatkozó rendelet - többek között - pontosan rögzíti az étrend-kiegészítőkben alkalmazható vitaminok és ásványi anyagok körét, illetve felhasználható vegyületformáit, továbbá ezek napi adagra vonatkoztatott minimális mennyiségét (a napi ajánlott bevitel 15%-a).
Ahhoz, hogy ma egy étrend-kiegészítő kapható legyen, nincs szükség hosszadalmas engedélyeztetésre, a gyártónak csupán be kell jelentenie a forgalomba hozatalt. Éppen az engedélyeztetés hiánya miatt kell óvatosnak lennünk az étrend-kiegészítőkkel: mivel a szigorú, aprólékos és mindenre kiterjedő vizsgálatok – a gyógyszerekkel ellentétben – az esetükben elmaradhatnak.
A gyógyszerek csomagolásán található egy olyan betűkből és számokból álló sor, amely a készítmény engedélyezési számát jelzi. Ez mutatja, hogy a fogalomba hozatalát a felelős hatóság engedélyezte, és azt, hogy a készítmény mely kategóriába sorolható (OGYI-T, OGYI-HGAL, OGYI-HG, OGYI-TN). Az étrend-kiegészítőkön ezek a számok nem szerepelnek.
Want to print your doc?
This is not the way.
Try clicking the ··· in the right corner or using a keyboard shortcut (
CtrlP
) instead.