Skip to content
Share
Explore

Sụp mí bẩm sinh có khả năng điều trị được hay ra sao?

Sụp mí bẩm sinh là một trong những trường hợp bệnh lý thường gặp ở bé sơ sinh. Tình trạng này dẫu cho không nghiêm trọng nguy hiểm nhưng lại tác động khá lớn khá nhiều đến thị lực và tính đẹp mắt của các bé trong tương lai. Vậy, sụp mí bẩm sinh có khả năng điề

1. Sụp mí mắt có nghĩa là gì?

có thể không gây mù mắt nhưng lại có thể khiến cho thị giác bị giảm thiểu, gây nhiều nguy cơ đối với trẻ em. Không chỉ gây tác động đến nhãn quan, sụp mí mắt còn tác động lớn đến ngoại hình của người bệnh, khiến họ trở nên tự ti hơn.
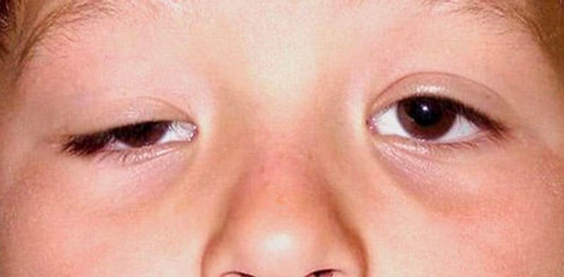
sup-mi-bam-sinh-1.jpg
Sụp mí có thể gây nên thị giác bị suy giảm.
Thông thường, mí trên che kín vùng rìa của giác mạc (đây là vùng ngăn cách giữa khu vực trắng và phần vùng đen) phía trên tầm khoảng 2mm. Nếu vùng này này bị vượt khỏi, thì đây là hiện tượng mí bị sụp. Hiện tại, tình trạng sụp mí được chia làm 2 loại là từ khi sinh và mắc phải.
Những người bị chiếm khoảng từ 50% - 70% bao gồm: sụp mí không phức tạp hay sụp mí kết hợp.
Sụp mí có thể xuất phát từ dây thần kinh số III bị bị vô hiệu hóa do hội chứng khe khe khít, hay do hội chứng đỉnh mắt, hội chứng xoang hoang hay do mắc phải suy nhược cơ,...
Bạn cũng cần lưu ý phân biệt với trạng thái mí sụp do nhầm lẫn do nhãn cầu quá nhỏ hoặc do bị viêm sưng màng mắt.

2. Khám lâm sàng lâm sàng những tình huống bị sụp mí bẩm sinh

Tình trạng sụp mí bẩm sinh là chiều dài được đo đạc từ khu vực giữa đồng tử cho đến cơ nâng mi khác biệt hơn nhiều so với khoảng thông thường ở các trẻ nhỏ. Thường, mí mắt sẽ đặt cách đồng tử khoảng 1 - 2mm, và khi mí bị sụp thì khoảng cách này chỉ giới hạn ở khoảng 0,5mm và có thể ít hơn nếu tình trạng sụp mí nặng. Những bệnh nhân sụp mí bẩm sinh sẽ có nhiều đặc điểm khác nhau, có thể hài hòa hoặc không hài hòa, hoặc sụp hai mí mắt,...

3. Những nguyên nhân khiến mí mắt bị sụp

Dựa vào mô hình về cách cấu thành mí mắt ở hệ cơ thể người, các nhà khoa học đã chứng minh những lý do khiến cho mí mắt bị sụp, cụ thể: Do tuổi tác, từ lúc sinh ra, tai nạn liên quan mắt, hậu quả từ các lần can thiệp y tế ở mắt, các chứng bệnh có tác động liên quan đến thần kinh cơ thể, các bệnh cơ chi,... Như được nhắc đến ở trên, sụp mí bẩm sinh chính là căn nguyên và cũng là tình trạng phổ thông nhất trong hiện tại. Tình trạng này có thể phát hiện đối với cả trẻ em mới sinh và được nhận định là chiếm khoảng 75% trên toàn phần những ca bệnh được ghi nhận sụp mí.
sup-mi-bam-sinh-2.jpg
Sụp mí mắt bẩm sinh đa số là do bị bất thường và bị biến đổi kiểu hình một cách dị thường của những sợi cơ nâng có công dụng giữ mí.
Những người bị sụp mí bẩm sinh đa phần là do bị mất cân bằng và bị biến dạng hình thái một cách không thường thấy của những sợi cơ có trách nhiệm nâng mí. Cụ thể, những sợi cơ có trong nhãn cầu có thể giữ vững được mí mắt sẽ giảm và thay thế những tổ chức xơ không có sức mạnh nâng mí.

4. Hỗ trợ điều trị sụp mí bẩm sinh bằng phương pháp gì?

Các bậc phụ huynh khi thấy con mình bị sụp mí bẩm sinh thường khá quan tâm và chú ý đến vấn đề điều trị của bệnh lý này. Vậy, những tình huống bị sụp mí bẩm sinh có thể được khắc phục hay không? Hiện nay, khoa học y tế đã có thể giúp đỡ tình trạng sụp mí với nhiều phương pháp như mổ mắt hay thực hành bài tập nâng cơ mí mắt. Thông qua thăm khám cho thấy, trẻ bị sụp mí mắt bẩm sinh khó chữa hoặc do bị suy nhược cơ thì sẽ được bác sĩ đưa ra hướng phẫu thuật.

4.1. Lúc điều trị

Mốc thời gian điều trị thích hợp nhất là khi trẻ đang ở độ tuổi 4 - 5. Nếu bé bị sụp mí bẩm sinh gây ra tình trạng nhược thị với dấu hiệu lệch cổ hay đầu lệch sang bên thì sẽ được chỉ định phẫu thuật trước thời gian trên. Khi tốt nhất để bắt đầu các thủ thuật cho tình trạng này là từ lúc bé tròn 1 tuổi.
sup-mi-bam-sinh-3.jpg
Người bệnh sụp mí mắt bẩm sinh có cơ hội thông qua khoa học y tế hiện đại.

4.2. Can thiệp y khoa sụp mí mắt bẩm sinh

Hiện tại, liệu pháp phẫu thuật sụp mí bẩm sinh được phân loại gồm có 3 nhóm chủ yếu như sau:
Loại đi một phần da của mí mắt phía trước: Cách này do người Arab phát hiện ra trong ngành học chỉnh hình ngoại khoa từ buổi đầu phát triển. Theo thời gian, quy trình này được khảo nghiệm, phát triển và được phát triển đầy đủ bởi các chuyên gia. Thế nhưng, với khoa học tiên tiến của công nghệ y học hiện đại, cách làm này ngày càng ít được áp dụng vào.
Gỡ bỏ phần cơ ở mí trên: Cách thức này sẽ được lựa chọn khi có nhận định về cường độ của cơ nâng mí trên ở độ bền trung bình hoặc khỏe mạnh. Phẫu thuật xóa bỏ phần cơ ở mí trên không để dấu hiệu sẹo và cũng không làm ảnh hưởng đến hình thức của cả gương mặt.
Hỗ trợ các bộ cơ xung quanh: Giải pháp này sẽ được sử dụng nếu cường độ cơ nâng mí mắt không đạt yêu cầu. Kỹ thuật này sẽ chọn sử dụng phần cơ thẳng ở vùng trên mắt để thay thế và bổ sung hoạt động của hệ cơ nâng mí khi tác dụng của phần cơ thẳng ở trên vẫn còn ổn định.
Việc đưa ra lựa chọn giải pháp điều trị tình trạng mí mắt bị sụp còn phải xét trên trạng thái sức khỏe của bé để giúp độ an toàn. Không chỉ vậy, có một số tình huống còn phải dựa vào nhiều vào kết quả phân tích của các bác sĩ lâm sàng về mức tác động của tình trạng sụp mí mắt bẩm sinh đối với khả năng nhìn của bệnh nhân.
sup-mi-bam-sinh-4.jpg
Các phương pháp phẫu thuật sẽ tăng cường cải thiện hiện trạng sức khỏe.
Tổng thể, việc điều trị tình trạng sụp mí bẩm sinh thời điểm này đã ít đi khó khăn như lúc trước. Với sự phát triển của nền khoa học y tế cùng sự hỗ trợ hiệu quả của dụng cụ y khoa y tế tân tiến đã giúp đơn giản hóa việc điều trị sụp mí được thuận tiện hơn. Hơn nữa, sau khi hoàn thành điều trị, bệnh nhân điều trị cũng không phải lo ngại về tính hài hòa, và thời gian lành bệnh cũng rút ngắn nhiều.
Want to print your doc?
This is not the way.
Try clicking the ··· in the right corner or using a keyboard shortcut (
CtrlP
) instead.